Установка зубных имплантов — это долгосрочное и надежное решение в случае потери всего зуба, включая корень.
С самого начала существования нашей семейной стоматологии «Аркобалено» мы используем проверенные имплантаты от известных производителей: Astra Tech (Швеция, Германия), Nobel (США), Osstem (Южная Корея), Dentium (Южная Корея).
Российский рынок в настоящее время наводнен множеством дешевых некачественных систем со всего мира, которые присутствуют на рынке в течение нескольких месяцев и их качество, и долговечность не были научно подтверждены в течение длительного периода времени. Опыт показал, что эти имплантаты имеют значительно более высокий процент осложнений и сокращенный срок службы.
Таким образом, пациент остаётся с имплантатом некачественного уровня в челюсти, более того, без возможности дальнейшего протезирования. По этим причинам часто приходилось удалять имплант из челюсти, так как они представляют собой серьезный риск для здоровья.
Имплантология — это специализированная область стоматологии, требующая профессионального подхода, новейшего оборудования и качественных материалов для имплантации.
Современный дентальный имплантат — это небольшой титановый винт, прочно вставленный в кость, во внутреннюю полость которого вставлен абатмент, который уже выступает над костью и десной в полость рта. К абатменту крепится несъемная коронка, мостовидный протез или специальный вид съемного протеза — гибридный протез.

Имплантаты не новость в стоматологии. Они использовались в качестве замены одного или нескольких зубов с середины 1960-х годов, это проверенный временем способ замены отсутствующих зубов со сроком службы в несколько десятков лет.
Зубной имплант изготавливается из чистого титана. Металл хорошо усваивается организмом человека и хорошо известно, что титановый материал надежно врастает в костную ткань. Пациентам, страдающим аллергией на другие металлы, также подходит этот материал — титан инертный материал, не вызывающий аллергическую реакцию.
Имплантат может заменить любое количество отсутствующих зубов в ротовой полости.
Наши работы содержат примеры имплантации зубов для наиболее распространенных случаев, когда дентальный имплантат является эффективным решением.
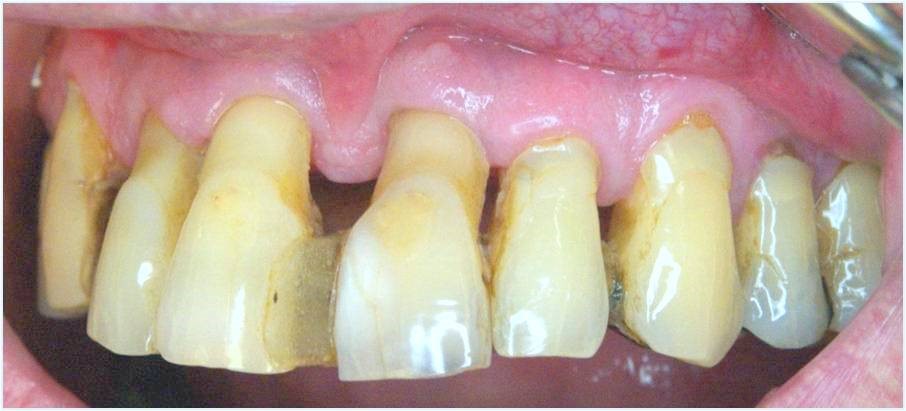
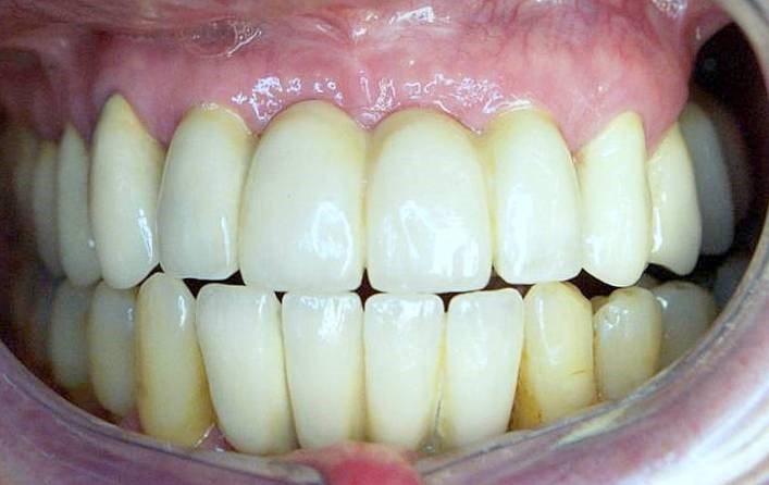
На фото представлены все этапы имплантации зубов от исходного состояния пациента до конечного результата.
На фото обычный случай замены одного зуба имплантатом, а также решение в случае беззубой челюсти или челюсти, пораженной пародонтозом.
Имплантологи стоматологической клиники «Аркобалено» также проводят работы, когда в деснах отсутствует костная ткань. Такие случаи решаются с помощью наклонных имплантатов без необходимости восстановления костной ткани.
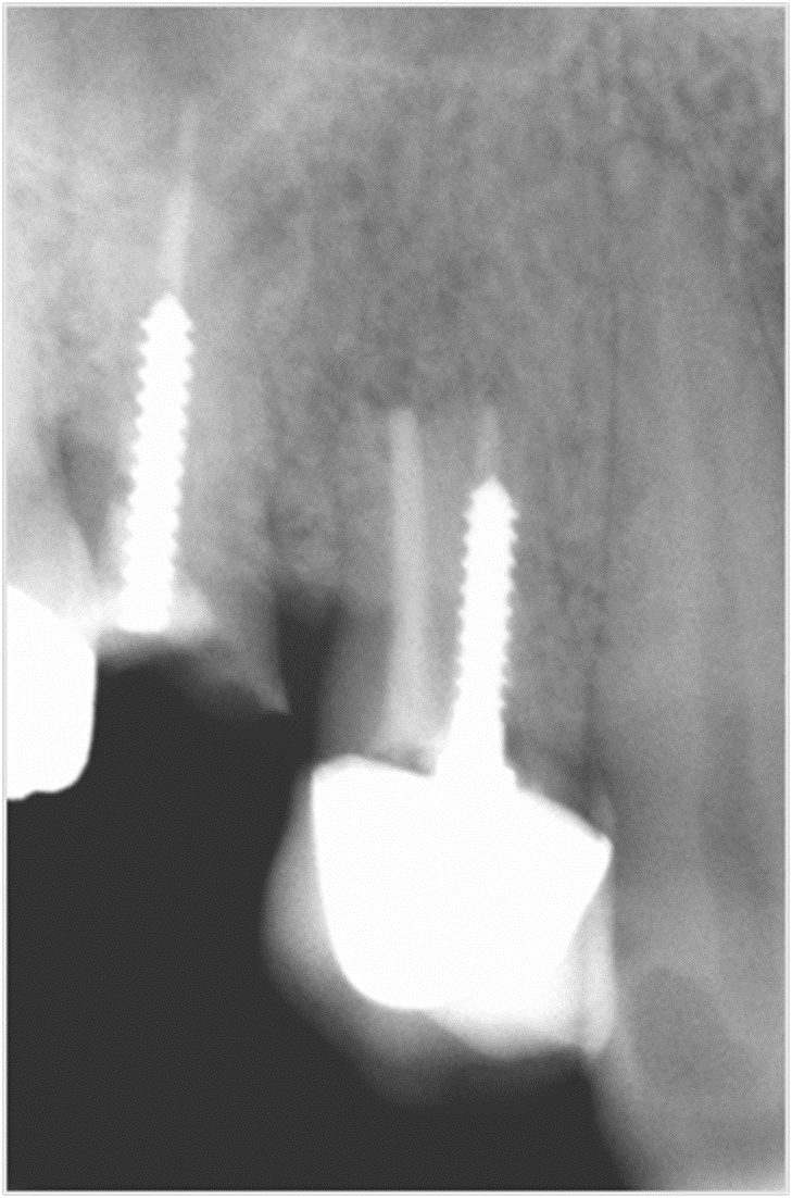
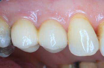
Пациентка обратилась с кариесом корня 14 зуба и 15 зуба с разрушением коронковой части зуба, ранее леченного с установкой анкерного штифта.


Имплантация 14, 15 зуба с циркониевой коронкой на импланте:


Имплантация в стоматологии «Аркобалено» при пародонтозе зубов, представлены все этапы имплантации под ключ.





