Счастливый маленький пациент
Установка 4 циркониевых коронок. Восстановление жевательной функции. Установка 4 циркониев...
Читать далее- Детская стомотология
- Профилактика
г. Красногорск, б-р Космонавтов, д.1
Ежедневно 10:00-21:00
Результаты, которыми мы гордимся. Посмотрите примеры наших работ и убедитесь в качестве лечения
16000+
пациентов доверяют
83%
приходят по рекомендации
10+ лет
заботы о семьях
Счастливый маленький пациент
Установка 4 циркониевых коронок. Восстановление жевательной функции. Установка 4 циркониев...
Читать далее
Голливудская улыбка
установка 10 имплантов с последующим протезированием. Пациент обратился с полно...
Читать далее
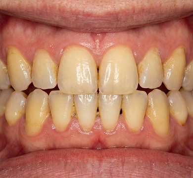
Полное восстановление зубного ряда
установка 10 имплантов с последующим протезированием. Пациент обратился с полно...
Читать далееХотите такой же результат?
Запишитесь на приём, и наши специалисты составят для вас индивидуальный план лечения.
Запись на приём
Оставьте контакты, и мы перезвоним вам в течение 15 минут
Или напишите нам
Получить консультацию
Задайте вопрос — мы свяжемся с вами и подробно всё расскажем
Или напишите нам