Ортодонтия — это особое направление в стоматологии, задачей которого является исправление аномалий зубного ряда. По оценкам специалистов, челюстными патологиями в том или ином виде страдает более 90% населения земного шара. Поэтому работа ортодонтов важна и актуальна везде и всегда.
Ортодонты выявляют проблемы, мешающие жевательной или речевой функциям и не соответствующие представлениям об эстетическом виде наших зубов. Выявляют и помогают с ними справиться.
Правда, к сожалению, ортодонтическое лечение в кино и мультипликации часто представляется как очередное испытание для героев, поэтому и ортодонтические конструкции изображаются громоздкими и устрашающими. Это может создать неправильное представление и у детей, и у родителей о возможном лечении, тогда как на самом деле с проблемой справиться гораздо легче. Современные лицевые дуги выглядят намного более привлекательными, чем у маленького Вилли Вонка, а брекет-система в кино обычно представлена техникой, которую современные врачи практически не используют.

Ортодонтия шагает вперёд семимильными шагами, и многие задачи, которые раньше были сложными и требовали длительного лечения, сопряжённого с различными неудобствами, в стоматологической клинике «Аркобалено» теперь решаются гораздо проще. В этой статье мы рассмотрим основные методы и технологии ортодонтической стоматологии ХХI века, чтобы помочь нашим пациентам разобраться, что к чему.
В ортодонтическую диагностику входят различные методы, на основе которых изучается прикус, а также выявляется необходимость в дополнительном комплексе исследования.
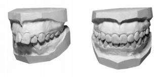
Модели зубов в ортодонтии получают при обработке слепков, которые являются результатом проекции зубов на слепочные массы. В некоторых случаях приходится делать и компьютерную обработку получаемых моделей.

Компьютерная томография в ортодонтии — метод, обеспечивающий высокую достоверность результатов. При компьютерной томографии проводится послойное фотографирование нужных участков.

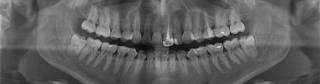
Ортопантомограмма — это вид панорамного исследования челюстей и зубов, позволяющий получить визуальную картину костных тканей. При минимальной рентгенологической нагрузке на пациента, ортопантомограмма поможет добиться качественных снимков с большим обзором.

Телерентгенограмма (ТРГ) — вид исследования, при котором полученное изображение показывает до мельчайших подробностей абсолютно все ткани снимаемой области. На ТРГ можно наблюдать рельеф, границы, краевые участки. Телерентгенограмму получают в двух проекциях: боковой или прямой.

Не все клиники располагают широким спектром диагностического оборудования, однако стоматология «Аркобалено» уникальна как наличием самой совершенной аппаратуры, которую встретишь не в каждой клинике, так и тем, что вы получаете все необходимые услуги — и диагностику, и лечение — в одном месте.
Теперь расскажем об основных технологиях, с помощью которых врачи клиники «Аркобалено» выполняют ортодонтическое лечение. Рекомендации по применению тех или иных видов брекетов или аппаратов могут отличаться от случая к случаю и зависят от таких факторов, как степень сложности челюстной аномалии, желаемые сроки лечения, финансовые возможности пациента.

Все металлические брекеты — это комбинированные системы, которые состоят из разного вида металлов. Такая система является надёжной и относительно недорогой технологией борьбы с неправильным прикусом и формирования красивых зубов. Современные металлические основы не могут оказать пагубного воздействия на эмаль, не могут стать причиной кариеса зубов или привести к другим осложнениям.

Эстетические брекеты для лечения бывают керамическими и сапфировыми. Прозрачные керамические брекеты имеют в своем составе бесцветный кристалл, который составляет основу всей системы. За счёт проведения естественного света удаётся уменьшить видимость ортодонтической системы, что даёт эстетическую специфику процессу исправления зубов. То есть такие брекеты на зубах заметны меньше, чем металлические.

Бесцветные сапфировые брекеты — это брекет-система, состоящая из полупрозрачных компонентов. В её основе лежат искусственно созданные кристаллы, которые специальным образом готовятся, чтобы не вызывать аллергических проявлений. И, опять же, они не бросаются в глаза при общении пациента с другими людьми.

Лингвальная брекет-система «Инкогнито» сделана из золота и имеет более плоскую структуру, которая позволяет ей плотнее прилегать к поверхности и не влиять на важные функции зубов. Данная система изготавливается по индивидуальному заказу в Германии.

Инвизилайн — это каппы с прозрачными свойствами, созданные для исправления прикуса за определённый промежуток времени. За ортодонтическое лечение нужно сменить несколько капп, которые устанавливаются прямой фиксацией на зубные ряды.
Каппы стоят на зубах не так как брекеты, они полностью обхватывают каждый зуб с передней и задней поверхности, что дает ещё более плотный ортодонтический контакт. Используемые в каппах материалы облегчают их одевание на зубы и снижают риск травматического воздействия на слизистые оболочки.

Съёмные ортодонтические аппараты (пластинки) для коррекции прикуса обычно начинают применять с 7–8 лет (иногда раньше, даже с 3-х лет).
Пока ребёнок растёт, лечение с помощью пластинок может значительно облегчить проблему и помочь формирующемуся костно-мышечному аппарату челюстно-лицевой системы «запомнить и приспособиться» к тому направлению, в котором ему предстоит развиваться. Тогда зубы гармонично расположатся в своём ряду, а челюсти достигнут правильного соотношения.
Съёмные пластинки применяются:

Ретенционные аппараты — это незаметные закрепляющие конструкции, которые изготавливают в день снятия брекет-системы.
Всем ортодонтическим пациентам для профилактики рецидива (возвращения неправильного расположения зубов) необходимы несъёмные и съёмные ретейнеры.
Несъёмные ретейнеры фиксируются на верхние и нижние зубы (если брекеты стояли на обеих челюстях) и должны оставаться на зубах 3-4 года — то есть в два раза дольше, чем длится само лечение на брекетах.
Съёмные ретейнеры — это вестибулярные пластинки, каппы и некоторые виды функциональных аппаратов.

Ортодонтические микроимпланты представляют собой миниатюрные винты, которые могут быть установлены при лечении брекет-системой. Благодаря мини-винтам срок ортодонтического лечения сокращаются. Такие конструкции служат в качестве опоры при перемещении зубов. После вживления микроимплантов ортодонт соединяет их с брекет-системой при помощи пружинной тяги.
Во время ортодонтического лечения необходимо тщательнее чистить зубы, так как любой ортодонтический аппарат усложняет процедуру ухода за зубами.
Для ухода за полостью рта при ортодонтическом лечении используются: зубная щетка (ортодонтическая, монопучковая), специальные зубные ёршики, зубная паста, зубная нить (флосс), ирригатор полости рта.

Если вы используете ортодонтическую зубную щётку, то основное движение при чистке зубов — выметающее (от десны к краю зуба). Непрерывное движение вверх-вниз не рекомендуется, так как можно травмировать десну. Заканчивать чистку лучше круговыми движениями, это отлично полирует эмаль и массирует десны.

Монопучковая зубная щётка обладает рядом преимуществ:

Зубные ёршики применяются для тщательной очистки межзубных промежутков и зоны вокруг брекетов. Длинная щетина ёршиков удаляет зубной налёт из глубины межзубных бороздок, контактных пунктов, вокруг брекетов. Очистка с помощью ёршика производится возвратно-поступательными и вращательными по часовой стрелке движениями.

Зубная нить используется для чистки межзубных промежутков. Флоссы бывают вощёные и невощёные. Флоссы, как правило, ароматизированы и пропитаны специальным воском, который помогает скольжению и эффективно удаляет межзубной налёт.

Ирригаторы являются непревзойденным средством борьбы с налетом. Ирригатор смешивает воздух и воду, затем формирует миллионы микроустойчивых пузырьков, атакующих бактериальный налёт. Очистка полости рта постоянной или пульсирующей струей жидкости под давлением значительно повышает качество гигиены полости рта, а также улучшает кровообращение в тканях пародонта за счёт массажа десен.
А наша главная рекомендация тем, кто задумывается об ортодонтическом лечении, — это не переживания, а посещение врача, который профессионально оценит состояние вашего зубного ряда и вынесет вердикт, нужно ли лечение и если да, то какое именно. Ортодонт предложит вариант, соответствующий степени сложности аномалии, вашим пожеланиям и возможностям, и грамотно расскажет обо всех этапах лечения.
Семейная стоматология «Аркобалено» всегда рада помочь и сделать Ваши зубы красивыми и здоровыми!